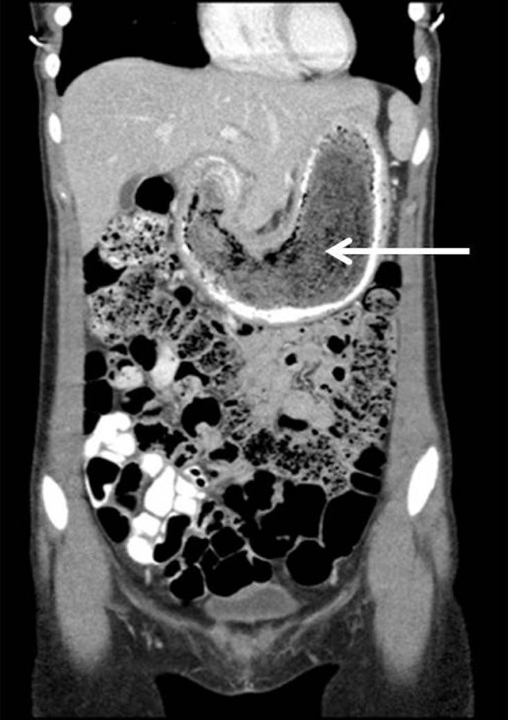
When you get right down to it, a body like ours is basically a bony scaffold that a strange collection of organs, interconnected by a complex entanglement of piping, hangs on. In some of these pipes, clumps of gunk can form and create blockages. A bezoar is one such clump, consisting of ingested—but not sufficiently digested—material, of widely varying composition, that forms and persists somewhere it shouldn’t, usually the stomach or small intestine.
Somewhere along the line, folks got it into their heads that bezoars were a powerful antidote against any poison. Employed by Greek and Persian doctors during the 1st millennium CE, the use of bezoars—as charms, or as medicinal powder after grinding—spread to Europe after the 12th century via the Crusaders. By the 16th century, these intestine-derived remedies were all the rage among wealthy Europeans, owing to their scarcity and exotic nature—they were rarely found in the guts of animals, like deer, antelope, goats, oxen, porcupines, and llamas.
Bezoar stones, as they were called, form inside animals around small rock fragments lodged in the digestive tract. Over time, these bits of rock are coated with concentric layers of calcium and magnesium phosphate minerals derived from the contents of an animal’s gut—akin to how a pearl is formed—and worn smooth by peristalsis, the ordered contractions and relaxations of digestive tract muscles. Not only did Queen Elizabeth I count a bezoar set in a silver ring among her crown jewels, the very word was used to refer to the pale beige color of several of her clothes. Things got pretty ornate.

How did bezoars come to be viewed as magical cure-alls? “The legend of the bezoar stones, which was generally credited in olden times, was that they were the crystallized tears of deer,” wrote Ralph H. Gardiner, a World War Two-era surgeon, in the British Medical Journal. “The deer ate snakes, which caused such intense stomach-ache that tears were brought to the animal’s eyes” (although deer are generally herbivores, they are known to gulp down small animals opportunistically). “These fell out,” Gardiner went on, “and men gathered them up. Cases of poisoning and other noxious diseases were said to have been cured by them, and one was used as a last resort at the death of King Charles II.”
It’s also been suggested, perhaps a tad more reasonably, that the phosphate minerals covering the outside of a bezoar stone—along with sulfur-containing breakdown products of any hair incorporated into the stone—are able to sop up arsenic from a drink poisoned with this toxic metalloid. This would explain why it was often deemed necessary to place a bezoar stone into a drinking cup to ensure it would provide protection. The weird and uncommon nature of bezoars helped build a certain mystique surrounding their clinical effectiveness.
“Consider that what was once a magical stone endowed with life-giving properties is now a cause for surgical intervention and a portent of evil.”
Not everyone was convinced of the value of bezoars, though. In the mid-16th century, for example, a French barber-surgeon by the name of Ambrose Paré disproved their universal effectiveness as an antidote. He gave a criminal who had been sentenced to death a poison (mercuric chloride) along with a bezoar, and the bezoar failed to protect the man from an unpleasant death. In the Andes, the religious leaders of Spanish colonists pushed for the destruction of bezoars due to, in their view, the idolatrous value placed upon them by the indigenous peoples of the region. The medical use of bezoars began to fall out of favor toward the end of the 17th century, likely reflecting in part the rising production of harmful counterfeits made with toxic metals such as mercury. By the 19th century, they were largely considered irrational and obsolete.
It can seem odd that, for all the stones removed from the innards of herbivores over the centuries, the first documented postmortem diagnosis of bezoar in a person wasn’t made until the mid-1800s. A bezoar’s obstruction of the normal flow of digesting food can result in damage to the walls of the digestive tract, resulting in ulcers, bleeding, and, as a worst-case scenario, perforation of the intestinal wall and subsequent infection of the abdominal cavity with poop bacteria. As Gardiner put it: “Consider that what was once a magical stone endowed with life-giving properties is now a cause for surgical intervention and a portent of evil.”

Doctors have drummed up a range of ways to rid people of their bezoars. The most exciting and least invasive option is to use high-energy shock waves to break it apart from outside of the body. Alternatively, it may be necessary to insert an endoscope and disintegrate the bezoar with a jet of water or a laser-ignited mini-explosive. A third approach is to dissolve, or at least soften and mobilize, the bezoar by using a scope to directly inject a substance capable of breaking down materials other than the walls of one’s stomach and intestine. Depending on the composition of the bezoar, these substances may include Coca-Cola, protein-degrading enzymes found in papayas and pineapples, cellulase, and N-acetylcysteine. A fourth approach is laparoscopic surgery, which means making a small cut in the abdomen and inserting a tool to remove the bezoar. Finally, the nuclear option is to open things right up and take it out. It’s recommended if the bezoar is too big for the other approaches to work properly, or if life-threatening intestinal obstruction or perforation occurs. But in this scenario, surgeons need to be especially alert. Under exceptional circumstances, bezoars may explode during surgery! As one 2005 report warned: “Beware of the flaming hairball.”
This isn’t to suggest that bezoars have completely lost their remedial appeal. Porcupine bezoars, specifically, are still used by some Chinese people for healing dengue fever. A 41-year-old man, for example, told a couple of Malaysian researchers a few years ago that it’s “effective” and “very expensive.” His friend, he said, felt better after putting the bezoar under his tongue, chewing it, swallowing it, and then hydrating. “Can easily find in Chinese medicine shops,” he said, “but have to beware of the fake one nowadays.”
Chris Drudge is a writer from Canada. He’s interested in biology, history, and public health.






